A glutén egy fehérje, amely elsősorban a búzában, a rozsban és az árpában található meg. Amikor a gluténról beszélünk, fontos különbséget tenni három állapot között: a búzaallergia, a cöliákia (lisztérzékenység) és a gluténérzékenység között. Bár mindhárom esetben a gluténhez köthetők a panaszok, a háttérben eltérő folyamatok állnak.
A cöliákia egy autoimmun betegség, amelynél a glutén fogyasztása károsítja a vékonybelet. A szervezet ilyenkor olyan immunválaszt indít, amely a bélfalat támadja meg, ami idővel felszívódási problémákhoz vezethet. A betegséget általában vérvizsgálattal és további orvosi vizsgálatokkal diagnosztizálják. A tünetek között szerepelhet hasi fájdalom, fogyás, emésztési zavarok vagy akár mentális koncentrációs problémák is.
A búzaallergia esetében más jellegű reakció történik. Ilyenkor a szervezet a búzában található fehérjékre reagál allergiás módon, ami kiütéseket, légzési nehézséget vagy emésztési panaszokat is okozhat.
Létezik azonban egy harmadik állapot is, amelyet nem cöliákiás gluténérzékenységnek neveznek. Ennek tünetei sokszor hasonlóak a lisztérzékenységhez, azonban nincs rá egyértelmű laborvizsgálat, ezért nehezebb felismerni. Az érintettek gyakran csak a tünetek alapján gyanakodnak arra, hogy a glutén okozhatja a panaszaikat.
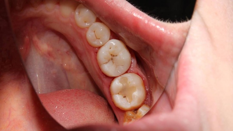
A gluténérzékenység egyik kevésbé ismert jele a fogászati problémák megjelenése lehet. Ha a szervezet nem képes megfelelően felszívni bizonyos vitaminokat és ásványi anyagokat, például a kalciumot vagy a D-vitamint, az hatással lehet a fogak állapotára. A zománc károsodása, a fogszuvasodás vagy a gyakori szájfekélyek is összefüggésbe hozhatók ezzel a problémával.

Sokan tapasztalnak tartós fáradtságot is. Bár a kimerültség számos okból kialakulhat, a gluténre adott gyulladásos reakció a szervezetben hozzájárulhat a levertséghez és az energiaszint csökkenéséhez.
Előfordulhatnak izom- és ízületi fájdalmak is, amelyeket szintén a gyulladásos folyamatok válthatnak ki. Egyesek arról számolnak be, hogy panaszaik enyhültek, amikor gluténmentes étrendre váltottak.
A fejfájás és a migrén is gyakrabban jelentkezhet bizonyos esetekben. Kutatások szerint a cöliákiában vagy gluténérzékenységben szenvedők körében nagyobb arányban fordul elő krónikus fejfájás.
Idegrendszeri tünetek is megjelenhetnek. Néhány ember bizsergést, zsibbadást tapasztal a karokban vagy a lábakban, amely összefügghet az idegrendszer érintettségével. Súlyosabb esetekben idegkárosodás is kialakulhat.
Sokan számolnak be úgynevezett „agyi ködről” is. Ez a jelenség koncentrációs nehézségeket, feledékenységet és lassabb gondolkodást jelenthet, ami szintén kapcsolatba hozható a gluténnel kapcsolatos immunreakciókkal.
A testsúly ingadozása is előfordulhat. A gluténnel kapcsolatos emésztési problémák hatással lehetnek a tápanyagok felszívódására és a hormonális egyensúlyra, ami egyeseknél fogyást, másoknál súlygyarapodást okozhat.
Az emésztőrendszeri panaszok talán a legismertebb tünetek közé tartoznak. Puffadás, túlzott gázképződés, hasmenés vagy székrekedés is jelentkezhet, különösen akkor, ha valaki glutént tartalmazó ételek fogyasztása után tapasztalja ezeket a problémákat. A bőr is jelezheti, ha valami nincs rendben. Viszkető kiütések, ekcéma, pikkelysömör vagy pattanások is megjelenhetnek, mivel a szervezetben zajló gyulladásos folyamatok a bőrön keresztül is megmutatkozhatnak.
Sokan ezért kipróbálják a gluténmentes étrendet, hogy kiderítsék, javulnak-e a panaszaik. Fontos azonban, hogy az ilyen változtatásokat lehetőleg orvosi vizsgálat és diagnózis is megelőzze, mert csak így derülhet ki biztosan, hogy valóban gluténnel kapcsolatos problémáról van-e szó.